Skip to main content

Author: Service Lifter

Adult Orthodontic Treatment

There are more and more adult orthodontic patients these days, and it’s not hard to figure out why. Appliances that are barely noticeable have been developed to give adults more discreet choices when it comes to orthodontic treatment. And many adults realize that investing in a smile makeover can have significant benefits, socially and professionally. Straightening teeth can be an important part of that confidence-boosting makeover process.

Healthy teeth can be moved at any age, so there’s no such thing as being too old for braces. However, orthodontic treatment for adults is different in two important respects: For one thing, the growth and development of the jaws is complete in adults, so changes in actual jaw structure can’t be accomplished with orthodontic appliances in the way they can with a growing child.

Secondly, periodontal (gum) disease is more prevalent in adults than in children. While you are wearing the orthodontic appliances, gentle forces will be applied to your teeth so they can move through their surrounding bone. Periodontal health plays a key role in all of this; if the gum tissues are not healthy during orthodontics, bone loss can result and weaken the long-term prognosis of your teeth. So any gum disease must be brought under control before orthodontic treatment begins. And to maintain your periodontal health, you will need to make sure to have regular professional cleanings during the orthodontics while maintaining good oral hygiene at home.

Types of Orthodontic Appliances

All orthodontic appliances work essentially the same way: by employing light, constant force to move teeth into proper alignment. But how we apply these forces can vary, as numerous innovations have become available in recent years. Some of the newer, less visible orthodontic appliances have been designed to blend more easily into an adult’s personal and professional lifestyle. Types of orthodontic appliances include:

Traditional Metal Braces — This is probably what you think of when you picture someone wearing braces: small metal brackets bonded to the front of the teeth. A thin wire runs through the brackets and is attached on either end to metal bands that go around a back molar.

Clear Braces — Instead of highly noticeable metal brackets, you can have clear ones made of ceramic, plastic or a combination of both. They are hardly visible, except for the thin wire running through, but they are more susceptible to breakage than metal braces.

Clear Aligners — As an alternative to the fixed type of orthodontic appliances mentioned above, clear aligners are removable. They are actually a series of clear plastic “trays” that fit over your teeth exactly. Each tray is part of a series of trays that move your teeth a little bit at a time until they are in the proper position. Your trays are designed with the help of specialized computer software that generates a virtual model of your bite.

Lingual Braces — These metal braces are bonded to the back of your teeth (tongue side) so that no one can see them. That is the plus side. On the minus side, they can be more difficult to get used to wearing, and are more expensive than traditional braces.

After Treatment

Wearing a retainer after orthodontic treatment is crucial, no matter which type of appliance you choose and what age you happen to be. Teeth that are not held in place by a retainer long enough for new supporting bone to develop around them can drift back to their original positions, and that’s certainly not something you want to see happen. You will be instructed on how to retain your new, more beautiful smile so that it continues to make you look and feel great for years to come.

Your First Orthodontic Appointment

Your first appointment is an exciting time! It’s a chance for you to learn about the treatments and services that can help give you the best smile possible. It all starts with the initial consultation.

You should plan to spend at least an hour at the first visit. That’s to ensure that no one has to rush, and that you get plenty of time to ask any questions you may have. You will meet one of the receptionists or patient coordinators, who will take some information from you and bring you through the office. Then it’s time for some diagnostic work and an exam.

Making a Plan

A big part of the first visit is to determine what treatment is necessary to correct any problems found — and whether to begin now, or wait until a later time. The procedure starts by taking a set of regular photographs of the teeth in their present state. Next, a series of radiographic (X-ray) images will be taken. These show what’s going on underneath the gums: the position and growth of bones and joints, and the teeth that are still below the gum line.

In some cases, an impression (mold) of the teeth is also taken to create an exact replica of the bite. This helps reveal exactly what the problem is and how best to treat it. The impression is made by biting down on some soft putty-like material for a few moments; then it’s removed.

After that, it’s time for the exam. Besides looking in the mouth, we you may be asked questions, such as whether the jaws make noise when the mouth is opening or closing, or if there are any problems chewing or swallowing. Taken together, this information will yield a proper diagnosis so a treatment plan can be finalized at the first visit.

Discussing Your Treatment Options

Following the exam, you may be told that things are just fine — or, treatment may be recommended. It might begin right away or at a later time, depending on the developmental stage of the teeth and jaws. Many times, you’ll be advised to return for periodic checkups until it’s time to start.

Whether you’re starting now or later, the first visit is the best time to ask questions about the process. Topics to discuss include treatment choices, what to expect at the different stages of the process, and any of the following:

  • Can orthodontic treatment benefit me (or my child)?
  • What general procedures will be used to correct the problem?
  • Are any options available (or recommended) for my treatment?
  • Should I get treatment now, or is it better to wait?
  • Will tooth extraction be necessary?
  • How much does treatment cost? Are payment plans available?
  • How long do you expect treatment should take?

When you leave the office, you should have a better understanding of how you can get the best possible smile.

Root Canal Treatment

Root canal treatment — also called endodontics (“endo” – inside, “dont” – tooth) — is a set of specialized procedures designed to treat problems of the soft pulp (nerve) tissue inside the tooth. While some mistakenly think of it as an unusually painful treatment, in most cases the procedure is no more uncomfortable than getting a filling. It’s actually one of the most effective ways of relieving some kinds of tooth pain.

A root canal procedure becomes necessary when infection or inflammation develops in the pulp tissue of the tooth. Pulp tissue consists of blood vessels, connective tissue and nerve cells — which explains why a problem here may cause you to feel intense pain. In time, the pain may go away… at least temporarily. Without treatment, however, the infection won’t. It can lead to a dental abscess, and may even contribute to systemic problems in other parts of the body.

Root Canal Treatment Is Your Friend

We’ve all heard the gag: “I’d rather have a root canal…” This comedy line, comparing the procedure to something truly undesirable, may be funny — but putting off needed endodontic treatment is no joke. The idea that a root canal procedure invariably comes with complications and pain is a shopworn myth. It’s certainly true that infection or inflammation in the tooth’s pulp can be excruciatingly painful. But you should remember that having a root canal results in eliminating this acute pain and is not the cause of the pain.

Need another reason not to delay root canal treatment? How about this: A natural tooth that’s saved via root canal treatment and restoration helps you avoid the problems that commonly occur when teeth must be removed. These include unwanted tooth migration or shifting, which can lead to difficulties in chewing; the need for bridgework or dental implants, which may be costly and complicated; and even the eventual loss of bone structure from the area of the missing tooth.

Causes of Root Canal Problems

Root canal problems stem from infection and inflammation of the tooth’s pulp tissue. One potential cause of infection is deep tooth decay. Untreated dental cavities eventually allow bacteria to work their way down to the center of the tooth, where they may infect the pulp tissue. Another path by which bacteria may come into contact with pulp is via chipped or cracked teeth. Any opening in the protective enamel coating has the potential to allow bacteria access to the tooth’s pulp.

Trauma to the tooth — the kind that might result from a sports injury or automobile accident, for example — is also a major cause of pulp tissue damage. In this case, it’s essential to seek treatment immediately, both to try and save the tooth, and to prevent future problems.

In some cases, extensive dental work itself may cause damage to the pulp tissue that will need to be treated via a root canal. Having multiple fillings or restorations on the same tooth increases the chances of this type of injury. Occasionally, common procedures like crown preparation or orthodontics may eventually lead to root canal problems.

What to Expect During Root Canal Therapy

If an examination shows that you do need root canal therapy, don’t worry — it’s one of the most routine and effective procedures in the arsenal of dental treatments and can often be accomplished in just one visit.

The root canal process generally begins the same way as a filling does, and with no greater discomfort: an anesthetic is administered to numb the tooth and the surrounding area. For many patients, the worst is already over.

Next, a small opening is made in the surface of the affected tooth to give access to the pulp chamber and root canals. Tiny instruments are used, sometimes with the aid of a microscope, to remove the dead and dying pulp tissue from inside these narrow passageways. The chamber and empty canals are then cleaned, disinfected, and prepared to receive a filling of inert, biocompatible material. Finally, adhesive cement is used to seal the opening in the tooth, preventing future infection.

Following root canal treatment, your tooth may feel some sensitivity or tenderness for a few days. Over-the-counter pain relievers like ibuprofen are generally effective in relieving discomfort, but prescription medications may also be given if needed. During this period, it may help to avoid biting hard on the affected tooth. All of these symptoms, however, should be temporary.

To further protect the tooth and restore it to full function, it’s usually necessary to have a crown or other restoration placed on it. Restorations can take many forms, from traditional gold crowns to tooth replicas made of high-tech tooth-colored material. In any case, you will have made an investment in preserving your dental health for years to come.

Signs and Symptoms of Root Canal Problems

How do you know when you need a root canal? Sometimes, it’s painfully obvious. If you feel constant and severe pain and pressure in your mouth, or noticeable swelling and extreme sensitivity in your gums, then it’s clear you need an evaluation and treatment right away. Another telltale symptom of pulp tissue damage is sharp pain when you bite down on food. Lingering pain after eating hot or cold foods is also an indication of potential trouble. If you notice any of these symptoms, you need to have an examination as soon as possible.

Ultrasonic Cleanings

After a thorough, professional tooth cleaning, you know that your teeth look brighter and feel fresher. But tooth cleaning isn’t just about appearances. It’s the primary means of preventing and treating periodontal (gum) disease. Many studies have demonstrated a possible link between periodontal health and overall (systemic) health — which means regular tooth cleaning may benefit not just your mouth, but your whole body.

Why do teeth need special cleaning? Over time, dental plaque (a naturally occurring bacterial biofilm) and stains build up on tooth surfaces. Dental calculus (also called tartar), a harder deposit, can then form both above and below the gum line. A thorough dental cleaning removes these substances from the teeth, and helps keep disease-causing bacteria from proliferating.

Tooth cleaning is usually accomplished by the non-surgical technique of scaling, sometimes called “root debridement.” It’s typically a relatively painless procedure in which small dental instruments are used to physically remove deposits from the surfaces of teeth. At one time, scaling was performed entirely with manual tools. But in the last several decades, the ultrasonic scaler has changed all that.

What Is An Ultrasonic Scaler?

There are different types of ultrasonic scalers, but all of them work in a similar fashion: electromagnetic forces in the unit’s hand-held “wand” cause its tiny tip to vibrate rapidly. These vibrations, which occur at a rate faster than the speed of sound, effectively blast away plaque, calculus and stains from the tooth surfaces.

A small stream of water and/or antibacterial mouthwash, which emerges near the tip of the scaler, is called lavage. Lavage is used to cool the ultrasonic scaler’s tip and flush away debris from the area being treated. The vibrating tip causes some of the water to break into millions of tiny bubbles, an effect called cavitation. This ruptures the walls of bacterial cells and helps create an environment that’s less hospitable to harmful bacteria.

Ultrasonic Scaling vs. Hand Scaling

Studies show that a thorough ultrasonic cleaning takes about one-third less time as compared to hand scaling — which means you need less time in the chair. Many patients prefer ultrasonics to other types of scaling, possibly because it requires the clinician to use less force than a hand scaler to get the same effect. In ultrasonic scaling, only the tip of the tool touches the tooth surface, and only for a short time.

It’s also possible to remove deposits of plaque and tartar from under the gum line by using an extremely small tip on an ultrasonic unit, which can cause less discomfort and result in a deeper and better cleaning. Sometimes an ultrasonic scaler is used first, and then any stubborn areas are scaled by hand.

The Experience of Ultrasonic Scaling

Anyone who has a substantial buildup of tartar or is prone to gum disease can benefit from ultrasonic scaling. It can also help to remove stains from coffee and cigarettes, for example. Yet, for all its power, most people experience little or no discomfort during the procedure.

If you have very sensitive teeth, it may be possible to alleviate some discomfort by using slimmer tips on the scaler. Alternatively, a topical anesthetic may be applied, or conscious sedation can be administered. The power range, the flow of lavage water and the frequency of tip vibration may also be adjusted for increased comfort.

Special tips are also available to clean composite or porcelain tooth restorations, titanium implants, or areas of demineralization (enamel loss) on your teeth. If you have a cardiac pacemaker, be sure to alert all dental professionals/personnel before ultrasonic scaling treatment, so precautions can be taken.

Snoring & Sleep Apnea

You know it instinctively: A good night’s sleep is essential for good health. It makes you feel rested and ready to take on the world. Yet many people don’t get the sleep they need. Sometimes this is related to sleep-related breathing disorders (SRBD) — their own, or those experienced by their sleeping partners.

SRBD is characterized by recurrent episodes of reduced or interrupted respiratory airflow. This is caused by soft tissues near the back of the throat collapsing during sleep so that they partially close off the windpipe. These tissues — the tongue, for example — can vibrate as air passes by, causing snoring. Snoring is often worsened sleeping on one’s back because this encourages the lower jaw to slip back, which in turn pushes the tongue in front of the airway.

Loud snoring often disturbs the person in the bed who isn’t the one doing it, robbing him or her of vital sleep. The snorer, on the other hand, may seem to be slumbering peacefully, but this might not actually be the case. Chronic loud snoring is a common symptom of Obstructive Sleep Apnea (OSA; “a” – without; “pnea” – breath), which occurs when the upper airway is blocked to the point of causing significant airflow disruption, or even no airflow whatsoever for 10 seconds or more. This can be dangerous as reduced airflow into the lungs lowers blood-oxygen levels.

A person with sleep apnea may wake 50 or more times per hour — that’s almost once a minute! — without having any memory of it. These awakenings, called micro-arousals, last just long enough to restore muscle tone to the airway so the individual can breathe. Unfortunately, all those micro-arousals preclude deep and restful sleep.

What to Look Out For

Obstructive Sleep Apnea is a serious matter as it can lead to heart problems and other health issues. It’s possible you may have OSA if you snore and also suffer from any of the following:

  • Excessive daytime sleepiness
  • Irritability
  • Poor memory/confusion
  • Accident proneness
  • Night sweats
  • Morning headaches
  • High blood pressure
  • Obesity

How Dentistry Can Help

By now you’re probably wondering: What does my dentist have to do with all this? Here’s the connection: Snoring or sleep apnea can sometimes be treated with an oral appliance available at the dental office that’s designed to hold the lower jaw forward during sleep. This repositioning of the jaw moves the tongue away from the back of the throat, reducing the potential for obstruction. This treatment is backed by a great deal of scientific evidence; it’s a good remedy to try before moving on to more complicated breathing devices or surgery to remove excess tissues in the throat.

Only a dentist can fabricate, fit, adjust, monitor, and treat complications associated with Oral Appliance Therapy used in managing SRBD. So if you or a loved one is experiencing any combination of the signs and symptoms mentioned above, a consultation with a dental professional is a good idea.

Tooth Contouring & Reshaping

Sometimes little defects in teeth can attract more than their fair share of attention. The eye often seems drawn to the tiny chip in a front tooth; the slight mismatch in tooth size among adjacent teeth; the extra-pointy canine. If you find yourself staring at these subtle yet distracting features in your own smile, help is available — often with a minimally invasive, relatively inexpensive procedure known as tooth contouring (reshaping).

Tooth contouring involves removing a tiny amount of tooth enamel with a drill to sculpt a more pleasing shape and make the tooth fit in better with its neighbors. The tooth is then polished for a smooth finish. The procedure is most often used on the upper front incisors and canines, which are your most visible teeth.

Cosmetic problems that can be corrected with tooth contouring include: small chips, uneven tooth length, slight overlaps, and tooth edges that are too flattened or pointy. It can even be used to correct minor bite problems from teeth touching unevenly during contact. Conversely, your teeth should not be reshaped if any bite imbalances could result from it. In that case, one of several other highly effective cosmetic dental procedures would be recommended. Tooth contouring can also be used to give teeth a more feminine or masculine shape, simply by rounding or squaring the edges.

What to Expect

The first step in the contouring procedure is to examine your teeth and diagnose how the reshaping will accomplish your goal of smile enhancement or correct a bite problem if you have one. This will ensure that the teeth being reshaped will not only look better but also will be healthy. Sometimes a reshaping of the root surfaces is required to protect you from gum disease. In that case, an x-ray may be necessary to isolate and protect the sensitive inner tissue (the pulp). However, most often tooth contouring only involves the removal of a bit of enamel — the hard outer covering of the tooth. Because enamel is not living and contains no nerves, you will likely not need even a local anesthetic.

You will probably feel some vibration as your tooth is gently sculpted, and then polished smooth. Reshaping one tooth usually takes less than half an hour — and the results will be obvious as soon as you look in the mirror! Sometimes reshaped teeth can be a little sensitive to hot or cold after the procedure, but this should last no more than a day or two.

Tooth contouring can be combined with whitening for a dramatically younger-looking smile. It’s also often used in conjunction with cosmetic bonding or dental veneers — both of which can be used to reshape teeth with larger imperfections.

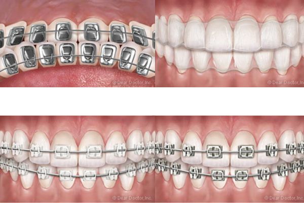
Types Of Braces

For the vast majority of orthodontic patients, wearing fixed appliances (commonly called braces) will be a major part of treatment — and those braces, for the most part, will be the familiar silvery-metal type. But while they’re still quite popular, traditional-looking metal braces are no longer the only game in town! Let’s have a look at some of the options available in orthodontic appliances.

First, we should distinguish between fixed and removable appliances. Fixed appliances like braces are attached to the teeth by metal bands or special cement. They aren’t normally taken off until treatment is complete. Removable appliances, such as clear aligners, are typically worn some 22 hours per day, but may be easily taken off as needed. While clear aligners can be effective in treating mild to moderate orthodontic problems, fixed appliances are generally needed for more comprehensive treatment.

Metal Braces

Typically made of high-grade stainless steel, traditional metal braces remain by far the most common type of fixed orthodontic appliances. They consist of metal bands that wrap around the molars in back, and smaller metal brackets that are cemented to the front surfaces of the other teeth. A thin, springy metal wire, running through the brackets, gently guides the teeth into a proper position. This archwire may be fixed to the brackets by flexible elastics, metal ties, or other types of clasps.

There are many good reasons why time-tested metal braces remain popular — because they offer a reliable, effective and economical treatment option. In contrast to the appliances of the past, today’s braces are actually smaller, lighter, and more comfortable to wear. If you want a less traditional look, you may be able to choose colorful elastics for the brackets, or other modifications.

Ceramic braces

Clear ceramic braces are a new variation on the traditional system that provides a far less noticeable method of treatment. They use the same components as traditional braces — except that the brackets on the front side of the teeth are made of a translucent ceramic material that blends in with the tooth’s natural color. This system has become a favorite for adults (including some well-known celebrities) because, unless you look closely, it’s hard to notice they’re there.

Several types of ceramic braces are currently available, and the technology is constantly improving. Their aesthetic appeal is undeniable… but there are a few tradeoffs. The ceramic brackets can be less durable than their metal counterparts; plus, while the brackets themselves don’t stain, the elastic bands that attach them to the archwire do (however, these are generally changed each month.) Ceramic braces also cost more than metal — but for many people, the benefit of having an inconspicuous appliance outweighs the costs.

Lingual Braces

While ceramic braces certainly offer a less conspicuous look, there is still another system that allows fixed braces to be truly invisible. In some situations, special appliances called lingual braces can be placed on the tongue side of the teeth. They work the same way other metal braces do — but even though they’re made of metal, they can’t be seen, because they’re hidden behind the teeth themselves!

Lingual braces aren’t the proper treatment for every orthodontic condition. Special training is required to install them, and they’re significantly more expensive than standard braces. They also generally require a bit more time for the wearer to get used to them, and they may slightly prolong treatment. But if you want the least visible type of fixed appliance — and if you’re a candidate for this treatment option — then lingual braces may be just what you’re looking for.

Thumb & Finger Appliances

Is there any image that illustrates the comforts of babyhood better than a sleepy infant sucking his or her thumb? Ultrasound pictures have shown, to the joy of many prospective parents, that this behavior can even occur in the womb. The thumb- or finger-sucking habit seems to relax and comfort toddlers too, and it’s perfectly natural. But as a child grows, there comes a point where this habit isn’t just socially awkward — it may also be harmful to his or her oral health.

In most children, thumb sucking stops on its own between the ages of two and four years. But if the practice persists after the primary (baby) teeth have erupted, it can drastically change the growth patterns of the jaw, and cause significant misalignment of the teeth. It may be hard to believe that such a benign habit can actually move teeth and bone — but there are a number of reasons why this occurs.

Children’s jaws, rich in blood supply and growing rapidly, are relatively soft and flexible — especially in kids under the age of 8. So it really isn’t hard for the constant pressure of a thumb or finger to deform the soft bone around the upper and lower front teeth. Children who are particularly vigorous thumb suckers are even more likely to change the growth patterns of the teeth and jaws.

If the thumb sucking habit persists, it can result in the upper front teeth flaring out and the lower ones moving back and inward. It can also hold back the growth of the lower jaw, while causing the upper jaw to be thrust forward. This can result in misalignment of the teeth, an anterior open bite (where the front teeth fail to close together), collapse of the upper jaw causing crossbite, or other problems. That’s why it is important to stop the behavior at an appropriate time, before damage occurs.

Controlling Thumb or Finger Sucking

Like many potentially harmful behavior patterns, thumb sucking can be a difficult habit to break. Through the years, parents have tried a variety of home remedies, such as having the child wear gloves, coating the digits with a bitter-tasting substance — and even reasoning with their toddlers. Sometimes it works — but in other cases, the allure of thumb sucking proves very difficult to control.

If your child has a thumb or finger sucking habit that has persisted past the age of 3, and you’ve been unable to tame it, then it may be time for you to visit the dental office for a consultation. A “habit appliance” such as a fixed palatal crib or a removable device may be recommended for your child. This crib isn’t for sleeping — it’s a small metal appliance worn inside the mouth, attached to the upper teeth.

How does it work? The semicircular wires of a palatal crib keep the thumb or finger from touching the gums behind the front teeth. Simply preventing this contact seems to take all the enjoyment away from the thumb sucking habit — and without that pleasurable feedback, a child has no reason to continue the behavior. In fact, the device is often successful the first day it’s worn.

Getting and Using a Habit Appliance

If your child could benefit from a habit appliance, the first step is to get a thorough examination, which may include taking x-rays, photographs and dental impressions. If it’s recommended, a crib will then be custom-fabricated to fit your child’s mouth, and placed at a subsequent appointment. Afterwards, your child will be periodically monitored until the appliance is removed — typically, a period of months.

Although wearing the crib isn’t painful, your child may experience some soreness in the upper back teeth for a few hours after it’s first installed. He or she may also have a little trouble falling asleep for a day or two afterward. Plenty of extra attention and TLC are usually all that’s needed to make everything all right. While the appliance is being worn, it’s best to avoid chewing gum and eating hard, sticky food that might cause it to come loose.

A Word About Tongue Thrusting

Like thumb sucking, tongue thrusting is a normal behavioral pattern in young children. It’s actually part of the natural infantile swallowing pattern, which will normally change on its own — by the age of six, in most children. If the pattern doesn’t change, however, it can lead to problems similar to those caused by thumb sucking: namely, problems with tooth alignment and skeletal development. Fortunately, this problem can be successfully treated with a habit appliance that’s very similar to a fixed palatal crib.

Oral Systemic Connection

Maintaining good oral health has many rewards: A sparkling smile, fresh breath, and healthy gums. But recent scientific evidence suggests that it may have an even greater benefit to your overall health: Specifically, it could potentially reduce your risk for a number of systemic (whole-body) diseases, including cardiovascular disease (CVD), diabetes, and rheumatoid arthritis — even premature birth.

Periodontal (gum) disease is estimated to affect nearly half of all Americans, and is the major cause of adult tooth loss. Numerous studies have shown that patients with severe periodontal disease are at increased risk for developing cardiovascular disease. Periodontitis may also increase the chance that diabetes will develop or progress, and research suggests an association between gum disease and adverse pregnancy outcomes as well.

Inflammation: Friend and Foe

What’s the link between diseases of the mouth — like gum disease — and those of the body? They are connected by the body’s natural reaction to harmful stimuli, which we call the inflammatory response. Often characterized by pain, redness and swelling, inflammation is a process by which your immune system responds to damage or disease in your tissues. Inflammation can help the body heal — or, if it becomes chronic, it can lead to more serious problems.

Gum disease (periodontitis), CVD, diabetes and rheumatoid arthritis are all associated with the same type of inflammatory response. Studies have found that moderate to severe periodontitis tends to increase the level of systemic inflammation — a condition that may smolder in the background, awaiting the right conditions to flare into a more serious disease. It has also been shown that the same strains of bacteria that are found in inflamed gum tissue may also appear in the arterial plaques of individuals suffering from CVD.

How Does It Work?

While there is intriguing evidence of a link between gum disease and other systemic diseases, further studies will be needed to prove whether one causes the other. At present, however, several mechanisms have been proposed to explain how the connection works. One suggestion is that oral bacteria themselves may enter the bloodstream, form into clumps, and trigger systemic inflammation. The inflammatory response can cause swelling of cells and tissues, which narrow the arteries and increase the risk of blood clots.

Another possibility is that byproducts of oral bacteria released into the bloodstream could trigger the production of substances called CRPs (C-reactive proteins) in the liver. These proteins tend to inflame blood vessels and promote the formation of clots, possibly leading to clogged arteries, heart disease and stroke. Elevated CRP levels, according to some studies, are a stronger predictor of heart attack than cholesterol levels.

What You Can Do

Since chronic inflammation is a systemic problem, the best way to begin controlling it is via a whole-body approach. Maintaining a healthy weight, getting moderate exercise (and, if you use tobacco, quitting the habit) will help with this. So will bringing untreated inflammatory diseases, such as periodontitis, under control.

There are a number of effective treatments for periodontal disease, including nonsurgical procedures such as root cleaning and the local application of antimicrobials. For more serious conditions, conventional or laser gum surgery is an option. Finally, to keep your gums healthy between office visits, you need to develop an effective oral hygiene routine you can practice at home.

Although it’s too early to say that periodontal disease causes heart disease or other systemic conditions, they seem to have a connection. And while medicine and dentistry can’t change genetics, together we can control external factors like excess weight, tobacco use… and gum disease. Maintaining good oral hygiene is the best way to avoid periodontal problems. But if problems occur, don’t wait: The sooner you have treatment, the better your chances for controlling gum disease — and perhaps systemic diseases too.

Cleft Lip & Palate Repair

Cleft lip and cleft palate are among the most common birth defects, estimated to affect around one in 700-800 babies born in North America. Both problems result from the incomplete formation of anatomical structures (the lips and the palate, or “roof of the mouth”) which develop during early pregnancy. These conditions may occur separately or together, and they can have a wide variation in severity. With proper treatment, however, in most cases the child has an excellent chance of leading a healthy, normal life.

Besides the noticeable irregularity in appearance, a cleft lip or palate can cause difficulties with feeding and speech. Both conditions are also associated with ear infections, hearing loss and dental problems. To fully address these problems, a child may require several surgical procedures, performed at different times. That’s why a team approach is often used to treat this complex condition. Members of the medical team may include an oral surgeon, a pediatric dentist, an orthodontist, a plastic surgeon, and other specialists.

In general, the first goal of treatment is to repair or “close” the gap in the lip and/or palate as soon as it is practical for the child — as early as 2 to 9 months of age. Follow-up treatment may be needed to restore the appropriate form and function of the lips, teeth, and jaws (for proper speech, eating, etc) and to correct hearing problems. These procedures may include plastic surgery, orthodontics, orthognathic (jaw) surgery and speech therapy.

Surgical Treatment for Cleft Lip or Palate

Cleft lip or palate surgery is usually performed in a hospital setting, and may be done when an infant is 6 to 12 weeks old. Intravenous sedation or general anesthesia is used, so your child won’t experience any pain. In cleft lip surgery, an incision is typically made on each side of the cleft. This creates several “flaps” of tissue, which are then sutured (stitched) together to close the gap. Suture lines are generally planned to follow the facial contours, so that the surgical scar will be as unobtrusive as possible.

Cleft palate treatment involves rebuilding the roof of the mouth, including soft tissue, muscle and bone. The initial surgery is often performed between the ages of 6 and 18 months. Like cleft lip surgery, it relies on specialized “flap” techniques to reposition soft tissues and close the gap. Before or after surgery, your child may need to wear a special appliance such as an obdurator (artificial palate) or a nasal alveolar molding device (NAM), a type of retainer.

Follow-Up Treatment

Depending on how complex the child’s condition is, additional procedures may be required after the initial treatment to fully correct any defects. A child’s treatment plan will often include pediatric dental examinations beginning around age one. Bone grafts to repair the hard palate may be recommended at age 8-11 years, when the cuspid teeth are developing. To correct problems with the alignment of teeth, orthodontic care may be needed beginning around age 12. In some situations, orthognathic surgery is recommended to address more severe jaw problems.

Handling a child’s cleft lip or palate can be a challenge for caregivers and family members — but it’s important to keep in mind that this relatively common birth defect can be successfully treated. Many who have this condition have gone on to become well-known performers, politicians, sports stars… as well as moms and dads, friends and neighbors.